Request Appointment
Location
New Patients:
(973) 609-1252
Existing Patients:
(973) 731-0505
Our Office
743 Northfield Ave
West Orange
,
NJ
07052
New Patients:
(973) 609-1252
Existing Patients:
(973) 731-0505
Visit Us Online
Home
About Us
Our Office
Our Team
New Patients
Smile Gallery
Reviews
Dental Videos
Our Doctors
Clara M. Hyun, DMD
Shivani Parikh, DMD
Services
Dental Cleanings
Emergency Treatment
Extractions
Night Guards
Oral Cancer Screening
Oral Exams
Pediatric Dentistry
Periodontal Treatment
Preventative Program
Root Canals
Sedation Dentistry
Sleep Apnea
Snoring Appliances
Sports Mouthguards
All-on-4®
Dental Bridges
Dental Fillings
Dentures
Implant Dentistry
Inlays & Onlays
Botox®
Ceramic Crowns
Cosmetic Dentistry
Dermal Fillers
Invisalign®
Juvederm®
Teeth Whitening
Veneers
Digital Radiography
Laser Dentistry
Dental Health
Contact Us
Request Appointment
Smile Gallery
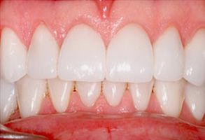
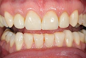
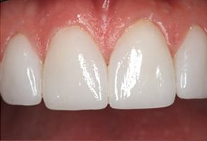
Before
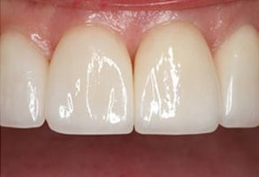
After
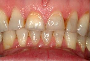
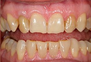
Before
After
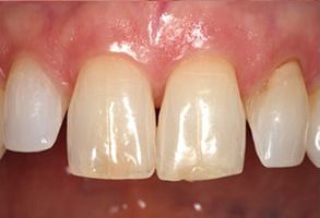
Before
After
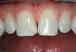
Before
After
Before
After
Before
After
Before
After
Our Office
743 Northfield Ave
West Orange
,
NJ
07052
New Patients:
(973) 609-1252
Existing Patients:
(973) 731-0505
Visit Us Online
(973) 731-0505
© 2026 Clara M. Hyun, DMD. All Rights Reserved. |
Accessibility Policy
Dentist Website Design